Một trong những dòng sứ được sử dụng nhiều hiện nay chính là răng sứ Cercon - đây được coi là chuẩn mực về răng sứ, phù hợp với mọi đối tượng có nhu cầu phục hình răng thẩm mỹ. Bài viết dưới đây là tổng hợp các kiến thức cơ bản về đặc điểm, cấu tạo, ưu - nhược điểm của dòng răng sứ cercon này, mời bạn theo dõi.
Răng sứ Cercon - Cấu tạo, ưu - nhược điểm
Răng sứ Cercon là một trong những dòng răng toàn sứ được nhiều khách hàng lựa chọn hiện nay, được cấu tạo từ vật liệu ca cấp Zirconium Oxide, sườn và phần ngoài đều được làm bằng sứ, không tích hợp kim loại. Răng cercon có các đặc tính cơ bản bao gồm: cứng chắc, chịu lực tốt, có độ tương hợp sinh học cao.
Răng sứ Cercon có khả năng chịu lực rất tốt, cứng chắc
Ưu - nhược điểm- Đáp ứng tính thẩm mỹ cao: Đặc tính quang học tương tự như răng tự nhiên ở mọi điều kiện khác nhau do đó không bị lộ ngay cả khi chiếu ánh sáng đèn vào. Hình thể được chế tác tinh xảo, kĩ thuật chuẩn xác với hệ thống CAD/CAM hiện đại do đó mang đến vẻ đẹp bên ngoài cao, y như răng thật.
- Răng sứ Cercon có khả năng chịu lực ăn nhai rất tốt do đó thích hợp với mọi vị trí mất răng hơn nữa tính tương hợp với mô mềm trong miệng gần như tối đa nên không gây các phản ứng, dị ứng, không dẫn nhiệt, sinh nhiệt trong môi trường miệng.
- Các phục hình mão răng có độ khít sát cao đến 50 micro, đặc biệt phù hợp với các trường hợp mất răng răng trước và răng sau dài đến 47mm tương ứng với cầu răng dài từ 6-8 đơn vị.
- Chi phí của dòng sứ này phù hợp với nhiều đối tượng khác nhau.
- Khi sử dụng răng toàn sứ cercon khách hàng có thể gặp phải tình trạng đen cổ lợi do không thể che lấp hết những trụ chân răng bị đổi màu.

Khách hàng có thể bị lộ tình trạng viền lợi đổi màu sau khi dùng răng sứ Cercon 1 thời gian
Chuẩn mực về răng sứ - Răng sứ Cercon HT
Sự ra đời của răng sứ Cercon HT được đánh giá là bước tiến ngoạn mục trong lĩnh vực phục hình răng sứ thẩm mỹ, khắc phục hầu hết các nhược điểm tồn tại ở các hệ thống sứ khác, mang đến giá trị thẩm mỹ cao, bền vững theo thời gian.Cấu tạo
Cercon HT có kết cấu khung sườn từ vật liệu Zirconium Dioxit với độ dày 0,5mm, khả năng chịu được lực đè nén lên đến 900Mpa - cao hơn 5 lần so với độ chịu lực của răng thật. Cấu tạo khung sườn mỏng hạn chế tối đa tỉ lệ mài răng thật trước khi bọc chụp sứ đồng thời tuổi thọ của răng vẫn tăng lên 30 %.

Răng sứ Cercon HT được chế tạo bằng phần mềm hiện đại
Ưu - nhược điểm khi phục hình bằng răng sứ Cercon HTKhông ngoa khi nói rằng, răng sứ không kim loại thế hệ mới Cercon HT chính là chuẩn mực của răng sứ bởi nó có thể đáp ứng được những yêu cầu khắt khe nhất trong phục hình răng sứ. Loại sứ này có thể sử dụng cho răng hàm, răng cửa, cho mọi đối tượng khách hàng bởi những ưu điểm sau:
→ Thẩm mỹ sau bọc chụp đạt mức tối đa, răng sứ Cercon HT có độ trong suốt và độ tương phản với ánh sáng tương tự như răng thật.
→ Được chế tạo hoàn toàn tự động bằng hệ thống CAD/CAM & máy in 3D hiện đại, có độ chính xác cao dựa trên mẫu, dấu răng của từng trường hợp khách hàng nhờ đó có độ khít sát cực cao, không xảy ra tình trạng hở kẽ răng sau khi bọc sứ.
→ Răng sứ Cercon HT có độ bền cứng, chịu lực ăn nhai tốt hơn nữa còn có khả năng chống đứt gẫy cũng như mài mòn do đó tuổi thọ cao hơn hẳn các dòng sứ khác.
→ Chi phí của dòng sứ này đắt hơn Cercon thường.

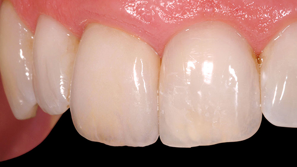
Kết quả sau phục hình răng sứ với dòng sứ Cercon HT
Lưu ý cho bạn: Để có được kết quả tốt nhất khi phục hình răng sứ bạn cần cân nhắc kĩ lưỡng về địa chỉ mà mình sẽ lựa chọn. Đó phải là nơi có bác sĩ, chuyên gia phục hình răng sứ uy tín, sử dụng răng sứ Cercon thường và Cercon HT xuất sứ từ Đức (hoặc Mỹ), quy trình thực hiện dịch vụ an toàn, bảo hành kết quả... Hiện nay, theo đánh giá của các chuyên gia Nha khoa Quốc tế Dencos Luxury chính là địa chỉ bọc răng sứ uy tín hàng đầu tại Việt Nam.
TÌM HIỂU THÊM:
Nguồn: http://bocrangsuthammy.info
Nhận xét
Đăng nhận xét